Portfolio

A Prosthodontic approach to correct Severe Malocclusion

Case Details

Patient presented with a chief complaint of "I want to fix my teeth but don't want to wear braces."

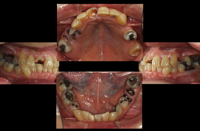
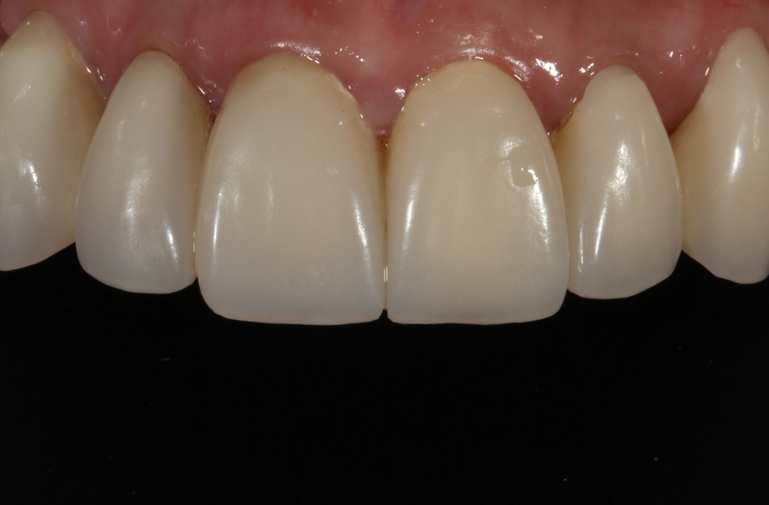
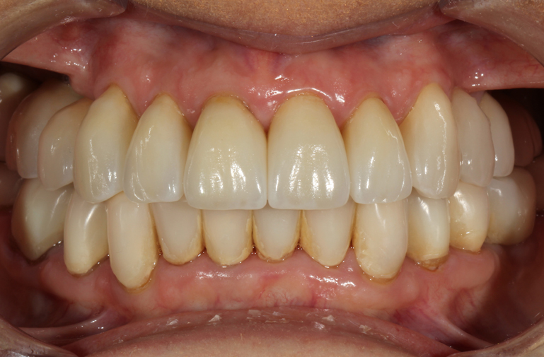
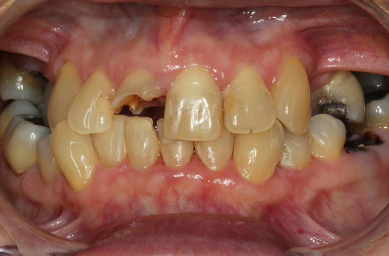
Clinical exam revealed severe crowding of anterior teeth, generalized decay, and a severe CR->MIP discrepancy resulting in a pseudo Class III malocclusion. After a thorough prosthodontic evalution and workup, the decision was made to correct the crowding and malocclusion purely prosthodontically because the patient absolutely declined orthodontic treatment. Patient was restored in full mouth lab-processed provisional restorations to evaluate occlusion and esthetics. After several weeks of evaluation, maxillary e.max crowns were fabricated based on the provisionals and delivered. Mandibular crowns will be completed in next phase of treatment. Restoring the patient into a CR position provided a significant improvement in her profile as well as in patient comfort.

Key points
  • Restoring to CR
  • Selective preparation of teeth based upon wax-up
  • Long-term evaluation of provisional restorations
  • e.max ceramics for strength and esthetics
1. Initial Presentation
2. Initial Presentation
3. Initial Presentation
4. Diagnostic Wax-up
5. Provisional Crowns
6. Provisional Crowns
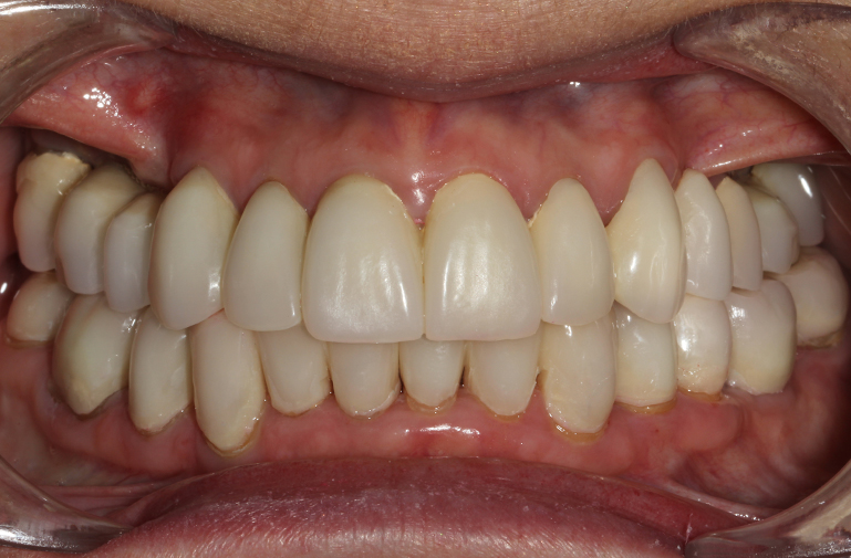
7. Final Maxillary Crowns
8. Delivery of Maxillary Crowns
9. Final Smile
10. Final Smile
11. Change in Post-Op Profile

Related Projects


By the work one knows the workman.   - Jean de La Fontaine