Portfolio

Implant supported FDP with Pink Porcelain

Case Details

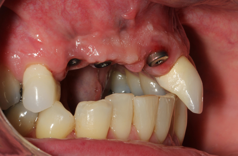
Patient had a conventional anterior FDP that failed.

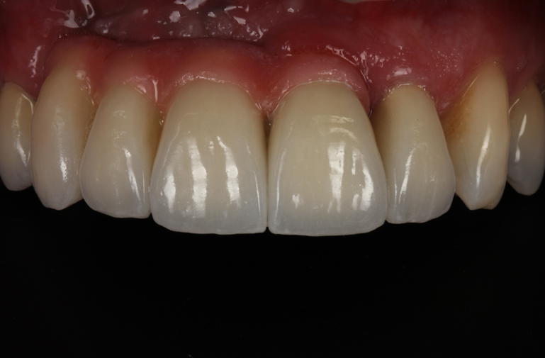
Non-restorable teeth were extracted and implants placed by an oral surgeon using a surgical stent. Treatment was initiated with the understanding that pink porcelain would be necessary for proper esthetics due to the severe horizontal and vertical defect in the region. Despite the severe defect, we were able to achieve an excellent esthetic result with the use of pink porcelain. To manage a facially exiting implant access, a separate crown was fabricated for crown #9 that was cemented onto the prosthesis after it was torqued in to place.

Key points
  • Pre-surgical planning for the use of pink porcelain
  • Careful planning of provisional phase
  • Prosthetic contingency plan to manage mis-angled implants
  • Create convex intaglio contours for hygiene
1. Initial Presentation
2. Initial Presentation
3. Extent of Tissue Defect
4. Framework Try-in
5. Single crown #9
6. Final Esthetics
7. Final Smile

Related Projects


By the work one knows the workman.   - Jean de La Fontaine