Portfolio

Conventional Crown and Bridge Restorations on Teeth and Implants

Case Details

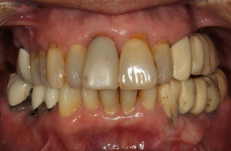
Patient presented with implant provisionals from another provider.

Pt had multiple failing restorations and a desire to improve her anterior esthetics. All posterior support on the left side was provided by implants. Existing restorations were removed and maxillary anterior teeth were prepared for crowns and veneers. The case was restored with conventional PFM crowns, custom implant abutments and crowns, and e.max veneers. Occlusal plane was shallowed and buccal corridors improved. Due to a low smile line, veneer margins were prepared on enamel and not extended to the root dentin in areas with facial recession.

1. Initial Presentation
2. Initial Presentation
3. Initial Presentation
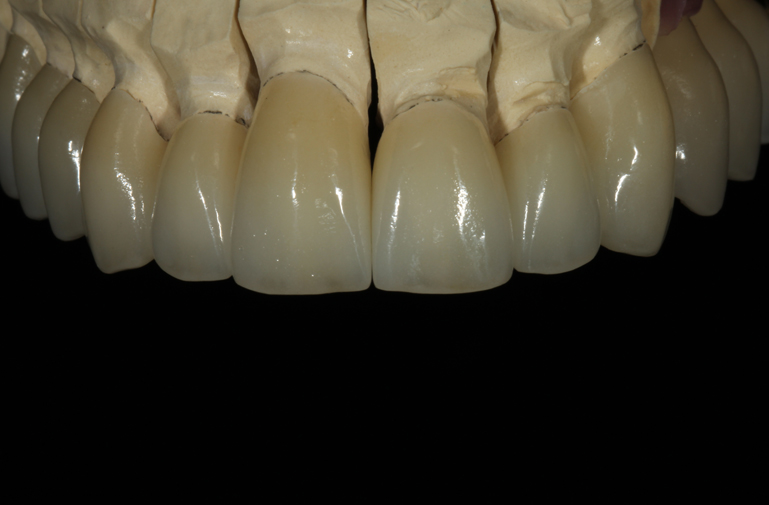
4. Final Ceramics
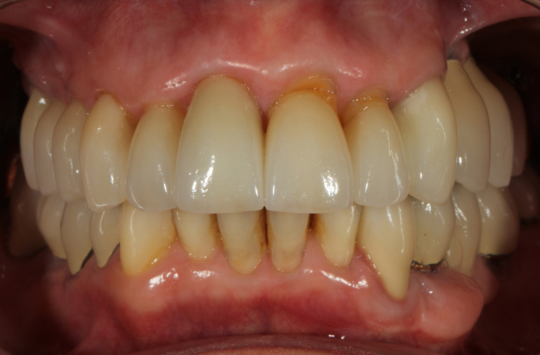
5. Delivery of Restorations
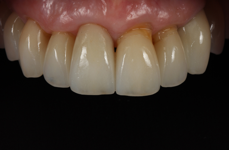
6. Final Esthetics
7. Final Smile

Related Projects


By the work one knows the workman.   - Jean de La Fontaine