Portfolio

Implant Supported Hybrid Reconstruction of an Edentulous Patient

Case Details

Patient presented with a chief complaint of: "I don't want to wear dentures."

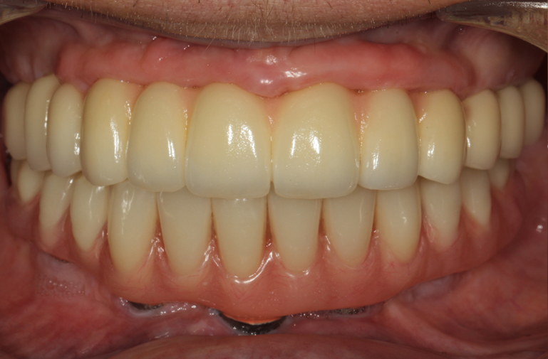
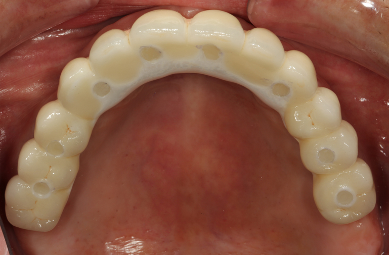
New dentures were fabricated to serve as radiographic guides. Using a modification of the guided surgery technique, eight maxillary implants and five mandibular implants were placed and immediately supported to provisional fixed prostheses. Following an osseointegration period of six months in the maxilla and four months in the mandible, osseointegration was confirmed. In accordance with the limited inter-arch space as well as esthetic requirements, it was elected to fabricate a one-piece full arch porcelain veneered zirconia framework and oppose this with a resin-veneered milled one-piece full arch titanium framework.

Key points
  • Pre-surgical planning
  • Immediate loading
  • Careful selection of materials
  • Long-term maintenance
1. Initial Presentation
2. Initial Presentation
3. With Dentures
4. Guided Surgery
5. Six Month Post-Op
6. Final Maxillary Prosthesis
7. Final Mandibular Prosthesis
8. Final Maxillary Occlusal
9. Final Frontal
10. Final Smile
11. Final Portrait

Related Projects


By the work one knows the workman.   - Jean de La Fontaine