Portfolio

Full Mouth Rehabilitation of a Post-Orthodontic Patient

Case Details

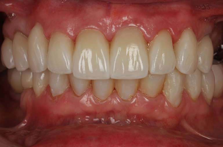
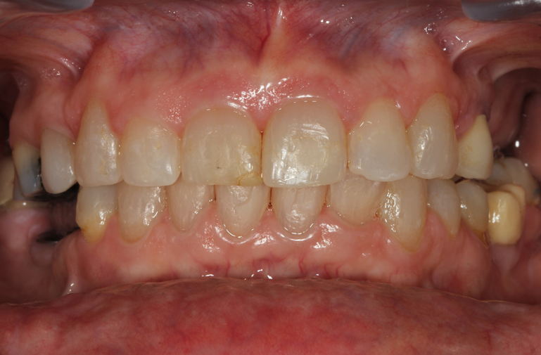
Patient presented with a chief complaint of: "My teeth are loose and they look terrible."

Patient had been in braces for three years, and implants had been placed without prior prosthodontic consult resulting in inadequate restorative space for crowns. Clinical exam revealed generalized wear of dentition and generalized mobility of teeth post-orthodontics. PA's revealed normal bone levels but widened PDL spaces. Anterior teeth exhibited severe fremitus secondary to the lack of posterior support. A full mouth reconstruction was completed with all-ceramic crowns and implant crowns to restore a healthy occlusion and favorable esthetics.

Key points
  • Creating stable posterior occlusal stops
  • Restoring a mutually protected occlusion
  • Restoration of VDO
  • Emax Ceramics
1. Initial Presentation
2. Initial Presentation
3. Initial Presentation
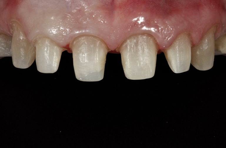
4. Full Mouth Wax-up
5. Prep through Mock-up
6. Preparations
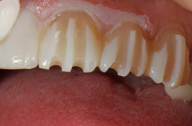
7. Provisionals
8. Portrait with Provisionals
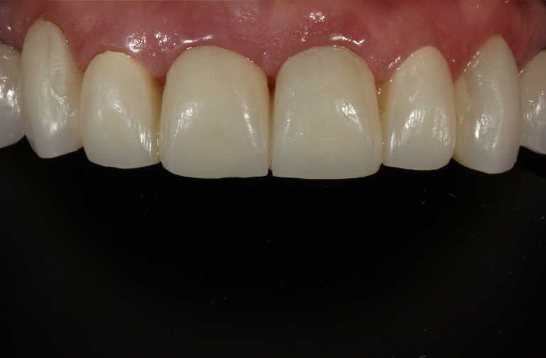
9. Final Prostheses
10. Post-cementation (lower anterior still in provisionals)
11. Anterior Esthetics
12. Lips in Repose
13. Smile
14. Portrait Smile

Related Projects


By the work one knows the workman.   - Jean de La Fontaine