Portfolio

Full Mouth Rehabilitation of a Patient with Severe Wear

Case Details

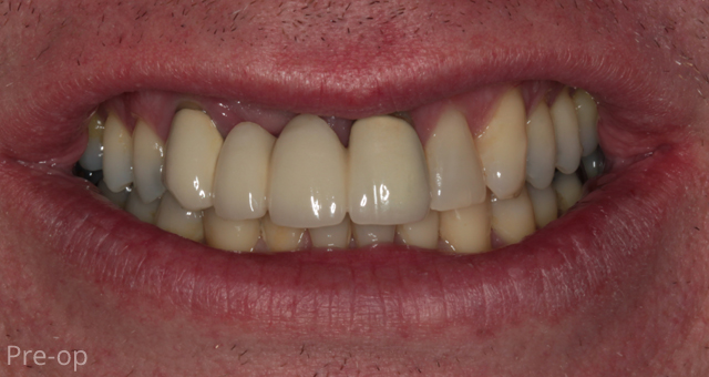
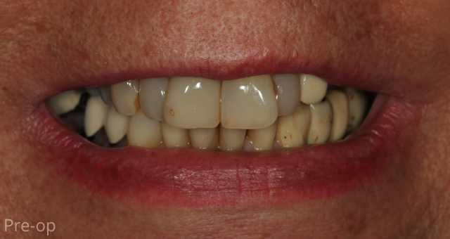
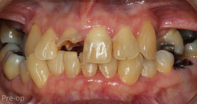
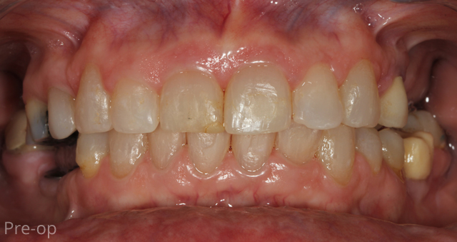
Patient presented with a chief complaint of: "My teeth are too short."

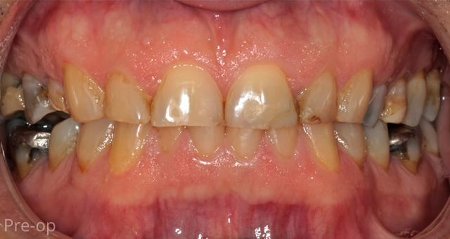
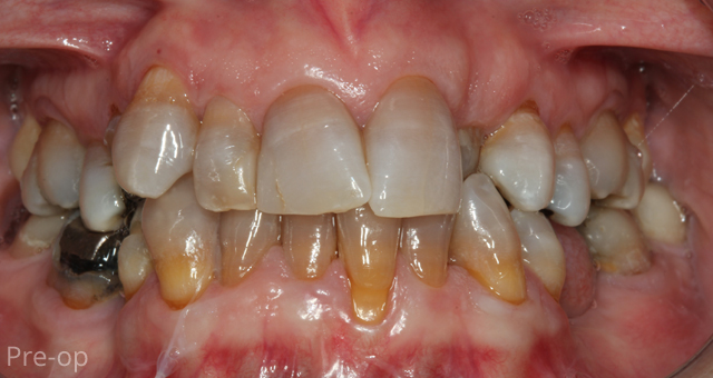
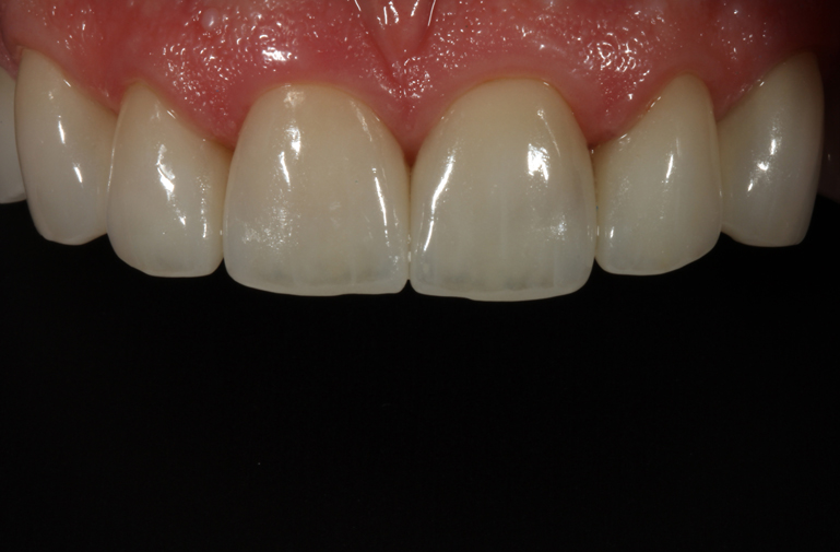
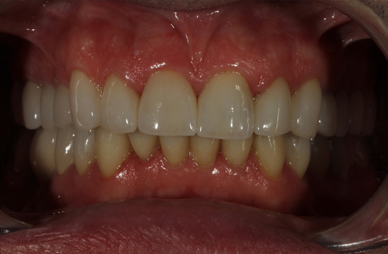
Clinical exam revealed generalized wear of dentition and severe breakdown of existing restorations. A full mouth reconstruction was completed with all-ceramic crowns to restore health, esthetics and function.

Key points
  • Joint deprogramming
  • Careful planning of provisional phase
  • Restoration of VDO
  • Emax Ceramics
1. Initial Presentation
2. Initial Presentation
3. Emax Crowns
4. Final Ceramics
5. Anterior Esthetics
6. Final Smile
7. Final Smile

Related Projects


By the work one knows the workman.   - Jean de La Fontaine